Tooth Fluorosis

What is Tooth Fluorosis?
Tooth fluorosis is a condition that affects the enamel (outer layer) of the teeth during their development, caused by too much fluoride intake in early childhood (typically before age 8).
✅ Causes:
Swallowing too much fluoride toothpaste.
High fluoride in drinking water.
Taking fluoride supplements when not necessary.
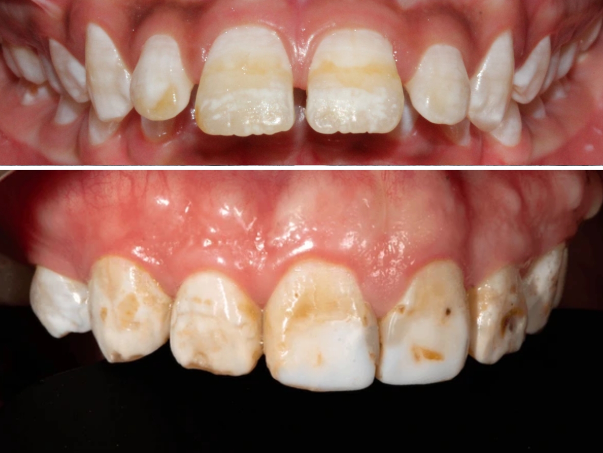
✅ How does it look like:
Mild cases: white spots or streaks on teeth.
Moderate to severe: brown stains, pitting, rough or chalky enamel.
Usually appears on permanent teeth, especially the front teeth.

❗ Important Notes:
Fluorosis is not a disease and doesn’t cause pain or decay.
It is purely cosmetic in most cases.
Prevention is best: monitor children's fluoride intake.
✨ What is ICON (Resin Infiltration)?
ICON stands for Infiltration Concept. It’s a minimally invasive cosmetic dental treatment developed to treat early enamel lesions, including:
White and brown spot lesions from fluorosis or orthodontic treatment.
Initial caries (early cavities) without drilling
💡 How it Works:
The enamel surface is etched to open tiny pores.
A clear resin is applied that penetrates into the enamel.
The resin fills in the white spot, matching the natural tooth shade.
It is then light-cured to harden.


✅ Benefits:
No drilling or anesthesia.
Preserves natural tooth structure.
Immediate aesthetic improvement – white spots fade or disappear.
Quick (can be done in one visit).
🎯 Best For:
Mild to moderate fluorosis white spots.
Post-orthodontic white spots.
Non-cavitated early caries lesions.

🦷 什么是牙齿氟斑症?
牙齿氟斑症是牙齿发育期间(通常在 8 岁以前)由于摄入过多氟而导致牙釉质(牙齿外层)出现变化的情况。
✅ 常见原因
吞咽过多含氟牙膏。
饮用水中氟含量过高。
不必要地服用氟补充剂。
🔍 表现形式
轻度: 牙齿表面出现白色斑点或条纹。
中度至重度: 牙齿出现棕色斑点、表面粗糙或粉状、甚至有小凹坑。
多出现在恒牙,尤其是前牙。

❗ 注意事项
氟斑症不是疾病,不会引起疼痛或蛀牙。
多数情况下只是美观问题。
预防是最重要的:监控儿童的氟摄入量。
✨ 什么是 ICON(树脂渗透修复)?
ICON(Infiltration Concept)是一种微创美容修复方法,可用于改善早期牙釉质损伤,包括氟斑症或矫正牙套后的白/棕色斑点。
💡 治疗原理
酸蚀:打开牙釉质的微小孔隙。
涂抹透明树脂:树脂渗入牙釉质,与牙齿本色融合。
光固化:使树脂硬化并密封牙面。


✅ 优点
无需打磨牙齿或打麻药。
最大程度保留天然的牙齿结构。
即刻改善外观 —— 斑点会明显淡化甚至消失。
治疗快速 —— 一次护理就能完成
🎯 适合人群目标
轻度至中度氟斑症白斑。
矫正牙套拆除后的白斑。
早期、未形成龋洞的蛀牙










