Toothache relief starts here : Understanding Root Canal Treatment (RCT)
A root canal treatment is a dental procedure used to treat an infected or inflamed tooth pulp.
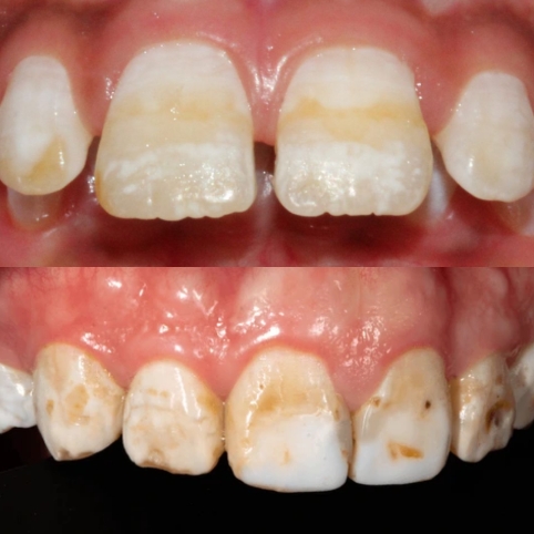
Tooth fluorosis is a condition that affects the enamel (outer layer) of the teeth during their development.
Here is the 5 Essential Tips for a Smooth Recovery After Tooth Extraction.










